All on 4 metoda – Fiksno rješenje za novi osmijeh

All-on-4 zubni most na četiri implantata jedno je od najmodernijih i najpouzdanijih rješenja za pacijente koji su izgubili većinu ili sve zube. Za razliku od klasičnih proteza, ova metoda nudi čvrstoću, stabilnost i osjećaj prirodnih zubi, bez straha od pomicanja ili nelagode pri govoru i žvakanju.

Ugradnjom samo četiri implantata u čeljust moguće je vratiti osmijeh i funkciju zagriza, a pritom se usporava i daljnji gubitak kosti čeljusti.

Prednosti All-on-4 metode

All-on-4 metoda pogodna je za pacijente koji su izgubili veći broj ili sve zube u čeljusti zbog uznapredovalog karijesa, oštećenih ili napuklih zubi, parodontne bolesti. 

All on 4 metoda nadomještanja izgubljenih zubi posebno je privlačna zato što pacijent u većini slučajeva već unutar 48 sati od ugradnje implantata dobiva privremeni most. To znači da ordinaciju napušta s osmijehom koji izgleda prirodno i omogućuje normalno funkcioniranje.

Dugoročno, All-on-4 zubni most osigurava:

  • Stabilnost i funkcionalnost – most na 4 implantata omogućuje normalno žvakanje i mljevenje hrane poput prirodnih zubi.

  • Prirodan izgled – boja i oblik zubnog mosta na implantatima oponašaju izgled prirodnih zubi.

  • Dugotrajno rješenje – All-on-4 mostovi na implantatima dizajnirani su da traju dugi niz godina uz pravilnu njegu.

  • Estetska podrška licu – usporava povlačenje čeljusne kosti koje je često mnogo brže kod nošenja proteza.

  • Bolja kvaliteta života – nema ispadanja ili pomicanja proteze, nema problema s izgovorom, osmijeh je prirodan i samouvjeren.

All on 4 metoda
Novi pouzdani zubi na samo četiri implantata

All on 4 tehnika omogućuje ugradnju četiri implantata po čeljusti – dva u području sjekutića i dva u području pretkutnjaka, postavljena pod posebnim kutom. Na njih se fiksira cijeli niz novih zubi u jednom čvrstom mostu.

Za razliku od mobilnih proteza koje se mogu pomicati i otežavati žvakanje ili govor, implantati služe kao stabilna osnova koja pacijentima pruža osjećaj prirodnih zubi odmah nakon zahvata.

Postupak ugradnje All-on-4 zubnog mosta na četiri implantata

Korak 1: Dijagnoza i plan terapije

Vaš prvi posjet Ordinaciji Petreković obuhvaća razgovor o zdravstvenoj povijesti, navikama i estetskim očekivanjima te procjenu stanja zubi, desni i kosti pomoću rendgenskih snimki i CBCT-a. 

Na temelju nalaza izrađuje se precizan plan terapije: određuje se točan položaj implantata, plan budućeg osmijeha i cijeli tijek zahvata. Pacijent u ovoj fazi dobiva sve informacije o postupku, trajanju i očekivanim rezultatima.

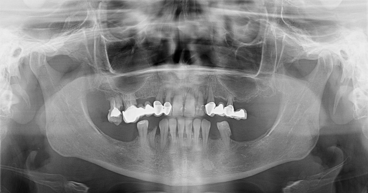
Ortopan snimka prije ugradnje All-on-4 implantata

Ortopan snimka prije ugradnje All-on-4 implantata

Korak 2: Pripremni zahvati i privremena protetika

Ako postoje zubi koje je potrebno ukloniti ili sanirati upalna žarišta, to se radi u pripremnoj fazi. Nakon toga se ugrađuju četiri implantata. Oni straga ugrađuju se pod kutom koji omogućuje stabilnost mosta i izbjegava dodatne zahvate na kosti. 

U velikom broju slučajeva već unutar 48 sati pacijent dobiva privremeni most, tako da može normalno funkcionirati. Privremeni zubi izgledaju prirodno, a služe i kao prijelazno rješenje dok implantati srastaju s kosti (oseointegracija).

Ortopan snimka s privremenim All-on-4 radom

Ortopan snimka s privremenim All-on-4 radom

Korak 3: Kontrolni pregled nakon ugradnje implantata

U prvim tjednima nakon ugradnje potrebno je nekoliko kontrolnih pregleda. Na njima se provjerava cijeljenje, stabilnost implantata i stanje desni. Pacijent dobiva upute o prehrani (najčešće mekša hrana u početku) te o održavanju higijene privremenog mosta i implantata. 

Ova faza ključna je za uspjeh cijelog postupka jer se implantati u tom razdoblju trajno povezuju s kosti.

Korak 4: Ugradnja trajnog zubnog mosta

Nakon što implantati potpuno srastu s kosti, izrađuje se trajni All on 4 most. On je čvrst, dugotrajan i oblikovan tako da savršeno pristaje pacijentovoj čeljusti. 

Ovisno o željama i potrebama, trajni most može biti izrađen od različitih materijala, ali cilj je uvijek isti – prirodan izgled, udobnost i funkcionalnost poput prirodnih zubi. Na kraju pacijent dobiva detaljne upute o održavanju, a redovite kontrole osiguravaju dugotrajni uspjeh terapije.

Ortopan snimka: trajni All-on-4 rad na titanskoj prečki s krunicama od cirkon-oksidne keramike

Ortopan snimka: trajni All-on-4 rad na titanskoj prečki s krunicama od cirkon-oksidne keramike

Nedostaci All-on-4 zubnih implantata

Iako je All-on-4 metoda inovativno i dugotrajno rješenje za nadoknadu izgubljenih zubi, važno je upoznati se i s mogućim nedostacima:

  • Veća početna cijena – Ulaganje u All-on-4 implantate veće je od klasičnih proteza zbog same ugradnje implantata i izrade trajnog mosta.

  • Kirurški zahvat – Ugradnja implantata zahtijeva manju operaciju pod lokalnom anestezijom, što znači da je potreban kraći oporavak.

  • Ograničena fleksibilnost – Most pokriva cijelu čeljust, pa u slučaju problema s jednim implantatom može biti potrebno dodatno prilagođavanje ili zamjena mosta.

  • Potreba za dovoljnom količinom kosti – Iako All-on-4 maksimalno koristi dostupnu čeljusnu kost, pacijenti s izrazitim gubitkom kosti ponekad trebaju nadogradnju kosti prije ugradnje.

  • Privremena prehrambena ograničenja – Tijekom srastanja implantata preporučuje se mekša hrana i izbjegavanje tvrde ili ljepljive hrane.

  • Redovita higijena i pregledi – Fiksni most zahtijeva redovito četkanje, korištenje zubnog konca ili Superflossa te vodeni tuš, kao i kontrolne preglede svakih 6 mjeseci kako bi se spriječile infekcije.

  • Moguće komplikacije – Kao i kod svih implantata, postoji rizik od infekcija, pomicanja implantata ili neuspjele integracije, osobito kod pušača ili osoba s kroničnim bolestima.

Nastavite čitati i saznajte:

Zubne krunice i mostovi: fiksna protetika za prirodan osmijeh

Zaključak

All-on-4 metoda predstavlja suvremeno, trajno i funkcionalno rješenje za pacijente koji su izgubili veći broj zubi ili imaju potpuno bezubu čeljust. Ova tehnika omogućuje stabilan i prirodan osmijeh, vraća funkcionalnost žvakanja i govora te pomaže u očuvanju strukture čeljusti i izgleda lica. Iako zahvat zahtijeva kiruršku proceduru i određenu njegu, dugoročne prednosti, stabilnost i estetski rezultat čine All-on-4 implantate najčešćim izborom za trajnu nadoknadu izgubljenih zubi.

Ako razmišljate o All-on-4 rješenju i želite savjet stručnjaka, kontaktirajte ordinaciju dentalne medicine dr. Alke Petreković u Zaprešiću kako bismo napravili detaljnu dijagnostiku i izradili individualni plan. Vaš novi, funkcionalan i prirodan osmijeh na četiri implantata Vas čeka! 😬

Nazovite nas ili zakažite pregled već danas i napravite prvi korak prema novom osmijehu!

Često postavljana pitanja o All-on-4 metodi

Što je točno All-on-4 metoda?

All-on-4 je suvremena stomatološka tehnika koja omogućuje rehabilitaciju cijele čeljusti uz pomoć samo četiri implantata. Dva implantata se ugrađuju ravno u prednji dio čeljusti, a dva stražnja pod kutom, čime se postiže iznimna stabilnost. Na te implantate fiksira se zubni most koji u potpunosti zamjenjuje izgubljene zube, pružajući fiksno, estetsko i funkcionalno rješenje.

Kome je namijenjena ova metoda?

Ova metoda je idealna za pacijente koji su izgubili sve zube ili većinu zubi u jednoj ili obje čeljusti, kao i za one koji imaju zube koji se ne mogu izliječiti (npr. zbog napredne parodontoze ili karijesa). Također je odličan izbor za osobe koje trenutno nose mobilne proteze i nezadovoljne su njihovom nestabilnošću ili otežanim žvakanjem.

Koliko traje cijeli postupak? Kada ću dobiti zube?

Jedna od najvećih prednosti All-on-4 metode u našoj ordinaciji je brzina. U većini slučajeva, ako postoji dovoljna primarna stabilnost implantata pacijenti dobivaju privremeni fiksni most unutar 48 sati od ugradnje implantata. To znači da ne morate biti bez zubi tijekom perioda cijeljenja. Nakon perioda oseointegracije (srastanja implantata s kosti), koji obično traje nekoliko mjeseci, izrađuje se i postavlja trajni most.

Je li zahvat bolan?

Sam zahvat ugradnje implantata izvodi se pod lokalnom anestezijom, stoga je potpuno bezbolan. Nakon zahvata moguća je pojava blage nelagode ili otekline, no to je uobičajeno i uspješno se kontrolira lijekovima protiv bolova koje ćemo vam prepisati. Većina pacijenata se vrlo brzo vraća svojim svakodnevnim aktivnostima.

Koja je razlika između All-on-4 mosta i klasične proteze?

Za razliku od klasičnih proteza koje su mobilne (vade se), mogu žuljati i zahtijevaju ljepilo, All-on-4 most je fiksiran na implantatima. To znači da je stabilan, ne pomiče se pri govoru ili jelu i funkcionira poput vaših prirodnih zubi. Osim toga, implantati stimuliraju čeljusnu kost i sprječavaju njezino povlačenje, što nije slučaj kod klasičnih proteza.

Imam li dovoljno kosti za All-on-4?

All-on-4 metoda je specifična upravo po tome što često eliminira potrebu za nadogradnjom kosti. Stražnji implantati se postavljaju pod kutom kako bi se iskoristila postojeća kost i izbjegle anatomske prepreke. Ipak, svaki slučaj je individualan – na prvom pregledu, uz pomoć CBCT snimke, precizno ćemo procijeniti stanje vaše kosti.

Kako se održava higijena All-on-4 mosta?

Higijena je ključna za dugotrajnost rada. Iako se umjetni zubi ne mogu pokvariti, potrebno je redovito čistiti područje oko implantata kako bi se spriječile upale desni. Preporučujemo korištenje ručne ili električne četkice, Superfloss zubnog konca ili interdentalnih četkica i vodenog tuša. Također, redovite kontrole u našoj ordinaciji svakih 6 mjeseci su obavezne radi profesionalnog čišćenja i provjere stabilnosti.

Kolika je trajnost ovakvog rada?

Uz pravilnu oralnu higijenu, izbjegavanje prekomjernih mehaničkih opterećenja (npr. škripanje zubima bez zaštitne udlage) i redovite posjete stomatologu (kontrole i profesionalno čišćenje svakih 6 mjeseci), All-on-4 predstavlja vrlo dugoročno rješenje za većinu pacijenata.

Implantati (titan): Dizajnirani su da budu trajni i da se integriraju s kosti, pružajući stabilnost godinama, često cijeli život uz dobru njegu.

Dentalni most/proteza (cirkon-keramika, kompozit na titanskoj prečki ili slični materijali): Izrađen je od visokokvalitetnih materijala koji su otporni na trošenje i dizajnirani za dugotrajnu upotrebu. U nekim slučajevima može biti potrebna zamjena ili popravak mosta zbog normalnog trošenja ili estetskih promjena, ali implantati pritom obično ostaju netaknuti i mogu nositi novi most.

U našoj ordinaciji koristimo visokokvalitetne materijale i provjerene protokole kako bismo maksimalno produžili trajnost rada. Ključ su redovite kontrole – one omogućuju rano otkrivanje i rješavanje eventualnih problema.

Kolika je cijena zahvata?

Cijena All-on-4 zahvata je veća u startu u usporedbi s klasičnim protezama zbog složenosti zahvata i materijala, ali predstavlja dugoročnu investiciju u kvalitetu života. Cijena ovisi o materijalu završnog mosta i specifičnostima vašeg slučaja. Za točan izračun i plan terapije, pozivamo vas na konzultacijski pregled - kontaktirajte Ordinaciju Petreković u Zaprešiću.