Što je hipodoncija?

Hipodoncija je urođeni nedostatak jednog ili više trajnih zuba zbog nepostojanja zubnog zametka. Najčešće su zahvaćeni gornji bočni sjekutići (dvojke ili petice), a ovaj problem može značajno utjecati na estetiku osmijeha, funkciju zagriza i samopouzdanje pacijenta.

Kada u zubnom nizu nedostaju trajni zubi, okolni se zubi mogu spontano razmaknuti ili nagnuti, što dodatno narušava sklad osmijeha. Osim estetskih posljedica, hipodoncija može uzrokovati i funkcionalne probleme, poput otežanog žvakanja ili problema s izgovorom određenih glasova.

Kako smo riješili problem prednjih zubi koji nikad nisu izrasli?

Zahvaljujući interdisciplinarnom pristupu u stomatologiji, hipodoncija se može uspješno riješiti kombinacijom ortodontske terapije, implantološkog zahvata i estetske stomatologije. U nastavku donosimo prikaz jednog takvog slučaja.

Klinički slučaj: nadomještanje nedostatka gornjih dvojki

Mladi pacijent nam se obratio s problemom hipodoncije gornjih bočnih sjekutića. Nedostatak ovih zuba uzrokovao je razmak među prednjim zubima i nesklad u osmijehu.

1. Ortodontska terapija

Kako bi se omogućilo postavljanje implantata na pravilan način, prvo je bilo potrebno ortodontskom terapijom napraviti dovoljno prostora za buduće dvojke. Ortodont je pažljivo rasporedio zube tako da se stvori simetričan i prirodan izgled osmijeha.

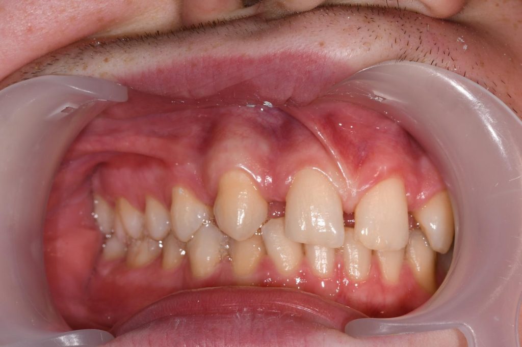
Hipodoncija - nedostatak sjekutića
Prije ortodontske terapije
Ortodontska terapija - Hipodoncija
Nakon ortodontske terapije

Nakon završetka ortodontske terapije, pomoću dijagnostičkih metoda utvrđeno je da pacijent ima dovoljno kosti za ugradnju implantata. Ugradnja dentalnih implantata izvedena je precizno, vodeći računa o optimalnom položaju implantata za kasniji estetski rezultat.

2. Oblikovanje zubnog mesa privremenim krunicama

Po završetku oseointegracije (procesa srastanja implantata s kosti), postavljene su privremene krunice na individualiziranim abutmentima. Njihova uloga nije samo estetska – one pomažu oblikovati zubno meso oko implantata kako bi izgledalo što prirodnije, nalik na zubno meso oko prirodnih zuba. Ovaj postupak traje između 4 i 8 tjedana.

Kada se postigne željeni izgled zubnog mesa, izradit će se konačne cirkonske krunice na implantatima, kojima ćemo postići prirodan izgled osmijeha, a pacijent dobiti trajno, funkcionalno i estetski savršeno rješenje.

Izgled zubala nakon postavljanja privremenih krunica u procesu liječenja hipodoncije
Odmah nakon postavljanja privremenih krunica
Mjesec dana nakon postavljanja privremenih krunica. Zubno meso se polako oblikuje
Mjesec dana nakon postavljanja privremenih krunica. Zubno meso se polako oblikuje
Izgled zubi nakon još 10 dana
Nakon jos 10 dana

3. Konačni rezultat

Nakon procesa oblikovanja zubnog mesa pomoću privremenih krunica, u zubnom laboratoriju izrađeni su individualni titanski abutmenti, precizno frezani prema specifičnoj situaciji ovog pacijenta. Na njih su postavljene krunice od cirkon oksidne keramike, koje u potpunosti zadovoljavaju i funkcionalne i estetske zahtjeve.

Zahvaljujući timskom radu stomatologa i specijalista ortodoncije te oralne kirurgije, problem hipodoncije je uspješno riješen, a pacijent je dobio prirodan, funkcionalan i estetski privlačan osmijeh.

Pogledajte kako izgleda konačni rezultat:
Konačni rezultat rješavanja problema hipodoncije
Konačni rezultat rješavanja problema hipodoncije
Osmijeh pacijena nakon rješavanja problema hipodoncije 🙌
Novi osmijeh našeg pacijenta 🙌
Imate sličan problem ili trebate savjet stručnjaka?

Zahvaljujući suvremenim mogućnostima, danas je moguće funkcionalno i estetski riješiti i najsloženije dentalne izazove poput hipodoncije. Takvo rješenje zahtijeva strpljenje i timski rad, ali krajnji rezultat – osmijeh koji izgleda prirodno i skladno – vrijedi svakog koraka. Ako imate sličan problem, kontaktirajte nas. Tu smo da zajedno pronađemo najbolje rješenje.